

Mast Cell Activation Syndrome (MCAS) forms part of a spectrum of mast cell disorders caused by the abnormal proliferation, accumulation, function and/or activation of mast cells. It causes a wide range of unpleasant, frequently debilitating allergic and inflammatory symptoms in many different systems of the body.
People with MCAS can react to a wide range of triggers and potentiating factors including foods, chemicals, drugs, fragrances, temperature, exercise, stress, hormonal fluctuations and infection.
The onset of MCAS can be unpredictable, affecting both children and adults, and presents with a wide range of symptoms in multiple body systems, ranging from hives and rashes, respiratory problems, syncope, gastrointestinal pain, diarrhoea, reflux, neurological problems including anxiety and brain fog, bone pain, and anaphylaxis.

The complex, multisystem nature of MCAS can make gaining a diagnosis particularly challenging. The ability to gain a diagnosis is also negatively impacted by a lack of universally accepted diagnostic criteria and access to diagnostic biomarkers.
There is an urgent need to give a voice to patients, support doctors and researchers, and inform policy-makers about this widely under-recognised condition.
With your support, we feel confident that we can make a substantial difference to the lives of those affected by MCAS and their families.
You can read our collection of patient stories here.
If you are treating patients with MCAS or suspected MCAS or are interested in treating patients with MCAS, please register your details with us here.

The symptoms of MCAS are often unpleasant, sometimes debilitating and can include life-threatening anaphylaxis. These symptoms usually involve multiple systems of the body and can include skin (dermatologic) symptoms, gastrointestinal symptoms (such as abdominal pain, nausea and vomiting), respiratory symptoms, neurological problems and urinary issues.
MCAS symptoms are often episodic or wax and wane (meaning that they go and come back) and their severity can fluctuate over time. In some cases, people may suffer mild symptoms for a long time before experiencing a sudden increase in the frequency or severity of symptoms. Possibly after a particularly triggering incident for the immune system, such as a severe infection or a medical procedure or operation.
The extent of symptoms for people suffering MCAS can be substantial. The potential severity of symptoms paired with the unpredictability of triggers can mean that the everyday lives of people with MCAS, their families and carers are considerably impacted.

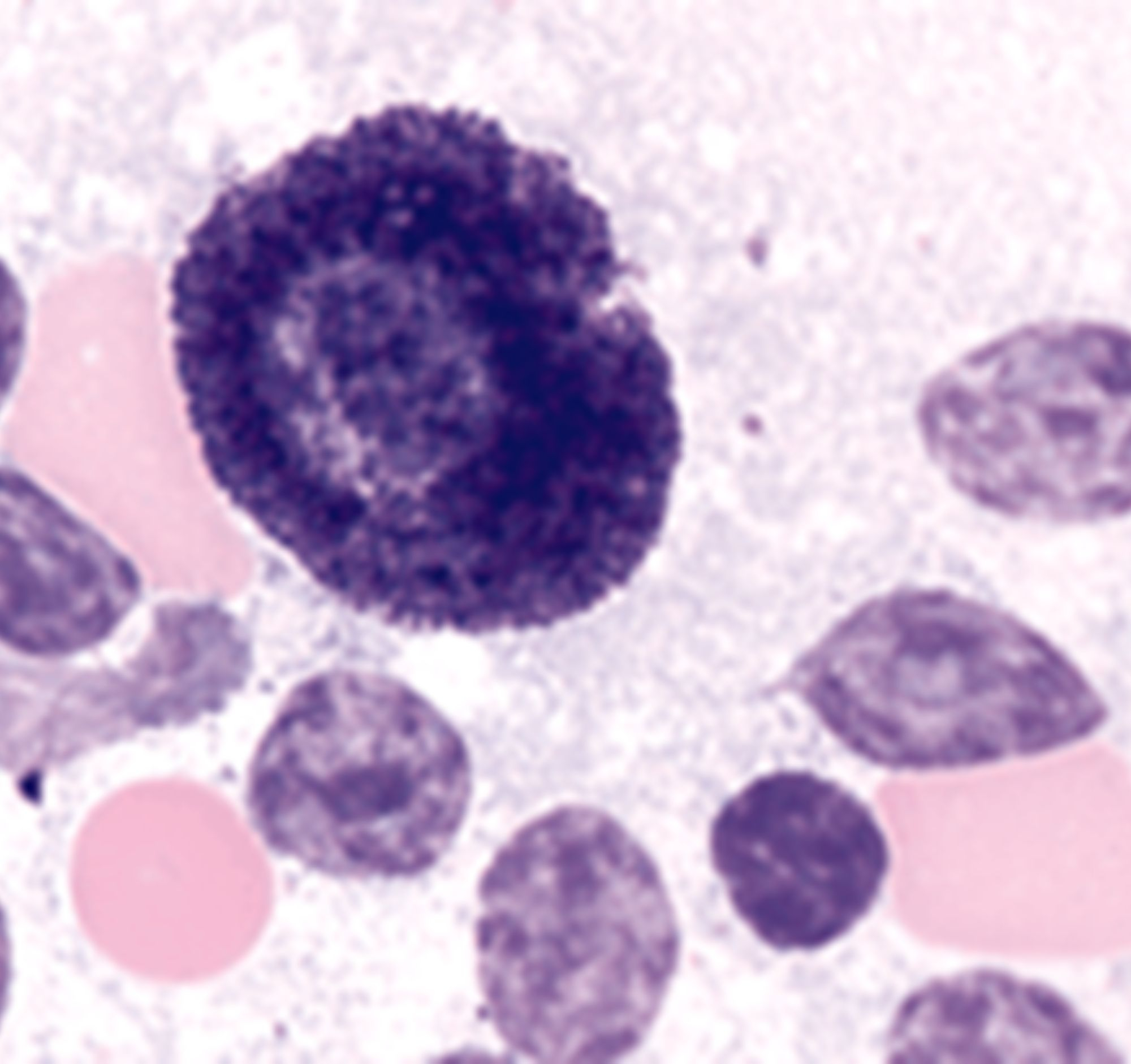
Mast Cells are tissue white blood cells, found in all parts of the body
They are functionally and phenotypically heterogeneous. They are a key part of the innate immune system with a role in immune defence, patrolling linings of mucosal surfaces of organs: the host-environment interface
In response to triggers mast cells release a range of mast cell mediators. (See image to the left)



Observational studies and patient-reported data show ‘clustering’ of MCAS with other conditions, meaning that people who have MCAS often also have at least one additional condition.
Common comorbidities include connective tissue disorders, e.g. Ehlers Danlos Syndrome (EDS) and Marfans, dysautonomia, such as postural orthostatic tachycardia syndrome (POTS), and type 2 diabetes. The relationship between MCAS and many of these comorbidities is yet to be fully understood, and more research is required.
Further information on comorbidities can be found in the Royal College of GPs Ehlers Danlos Syndromes Toolkit.
As the medical community continues to unravel the complexities of Long COVID, emerging research suggests a significant link with Mast Cell Activation Syndrome (MCAS).
In recent studies, an increasing number of Long COVID patients exhibit symptoms that show similarities to MCAS, including persistent inflammation, gastrointestinal disturbances, and neurocognitive issues. We know that understanding this connection is likely to be crucial in developing effective diagnostic and therapeutic strategies for patients living with MCAS and/or long covid.
A study conducted in 2021, highlighted the similarities between the symptoms of those living with Long Covid and those with MCAS. 136 adults (mostly female) in a long covid focus group were recruited for an online assessment of symptoms pre & post COVID infection.

As you can see from the image on the left, Long COVID subjects & those with MCAS prior to treatment, had identical symptoms. Furthermore, MCAS symptoms increased in Long Covid patients, similar to those who have MCAS.
Conclusion: activation aberrant mast cells was induced by SARS-CoV-2 infection and may underlie part of the pathophysiology of long covid, suggesting routes to effective treatments

If you are treating patients with MCAS or suspected MCAS or are interested in treating patients with MCAS, please register your details with us here. We are passionate about connecting healthcare professionals to share knowledge and collaborate. Mast Cell Action believes together we can enhance research, education, and awareness and ultimately improve the quality of life for those living with mast cell disease.
Join our professional network to:

Presentations given by Dr Alex Croom and Dr Bethan Myers at the 2019 PoTs Masterclass in the UK for more information on MCAS.
Presentations given by Dr. Anne Maitland from the ICAHN school of medicine at Mount Sinai in the US:
Dr. Theoharis Theoharides explains more about mast cells and the role of mast cell activation in the immune system.
Akin C. Mast cell activation syndromes. J Allergy Clin Immunol. 2017;140(2):349-355.
Molderings GJ, Haenisch B, Bogdanow M, Fimmers R, Nöthen MM. Familial occurrence of systemic mast cell activation disease. PLoS One. 2013;8(9):e76241. Published 2013 Sep 30.
Theoharides TC, Tsilioni I, Ren H. Recent advances in our understanding of mast cell activation - or should it be mast cell mediator disorders?. Expert Rev Clin Immunol. 2019;15(6):639-656.
Afrin LB, Ackerley MB, Bluestein LS, et al. Diagnosis of mast cell activation syndrome: a global "consensus-2". Diagnosis (Berl). 2020;/j/dx.ahead-of-print/dx-2020-0005/dx-2020-0005.xml.
Simons FER, Ardusso LR, Bilò MB, et al. International consensus on (ICON) anaphylaxis. World Allergy Organization Journal.

This guide provides an overview of the Symptoms, Diagnostic Criteria, Comorbidities and Management and Treatment of Mast Cell Activation Syndrome.

Unravelling the Challenges of MCAS Diagnosis and Management: Insights from a UK Patient Survey

This resource provides assessors with an overview of MCAS, how it affects daily living, and the support individuals may need, helping ensure assessments are safe, fair and based on an understanding of the condition’s fluctuating nature.

A handy 2 page Quick Guide to MCAS. An easy to read and understand overview of mast cells, MCAS symptoms, triggers, management, treatment and the histamine bucket theory.

Supporting Someone with MCAS as a Dietitian is a practical resource designed to help dietitians understand and support people living with Mast Cell Activation Syndrome. It offers guidance on the unique challenges that MCAS presents, particularly around food, nutrition, and symptom management.

A primary care guide to Mast Cell Activation Syndrome. It outlines common triggers, diagnostic criteria, and key symptom patterns affecting various body systems, helping clinicians recognise and differentiate MCAS from other conditions.

This leaflet details some of the tests used to diagnose MCAS, how to order and handle a sample and how to read the results.

This resource provides assessors with an overview of MCAS, how it affects daily living, and the support individuals may need, helping ensure assessments are safe, fair and based on an understanding of the condition’s fluctuating nature.

The festive season can be joyful, but for those living with MCAS, it can also bring extra challenges - new foods, busy gatherings, extra stress and exposure to different things. This guide offers practical ideas to help you plan ahead, look after yourself, and enjoy the parts of Christmas that feel right for you.

MCAS is a complex condition and can be hard for our loved-ones to understand. However, their support is crucial for us to be able to manage our condition well. This handy Quick Guide to MCAS is designed to help your loved-one understand MCAS and begin to learn how they can help you. Share this with your loved-ones, so that they can easily understand what MCAS is.

This poster provides brief facts about MCAS. These are great for sending to friends and family to help them understand or for taking to medical appointments.

This poster provides brief facts around Triggers and MCAS. These are great for sending to friends and family to help them understand or for taking to medical appointments.

This poster provides brief facts around fragrances and MCAS. These are great for sending to friends and family to help them understand or for taking to medical appointments.

This poster provides brief facts around managing MCAS. These are great for sending to friends and family to help them understand or for taking to medical appointments.

From our Nourishing Health & Happiness with MCAS series — simple, nourishing recipes designed to support digestion, comfort, and everyday enjoyment.

From our Nourishing Health & Happiness with MCAS series — evidence-informed guidance on supplements that may support wellbeing in MCAS.

From our Nourishing Health & Happiness with MCAS series — practical tips for enjoying meals out and social occasions while supporting your health and comfort.

From our Nourishing Health & Happiness with MCAS series — a gentle guide to reintroducing foods, helping you expand your diet with confidence and care.

From our Nourishing Health & Happiness with MCAS series — explore possible causes of weight changes and find balanced ways to support a healthy body and mind.

From our Nourishing Health & Happiness with MCAS series — understand the risks of malnutrition with MCAS and learn how to nourish your body safely and effectively.

From our Nourishing Health & Happiness with MCAS series — gentle, practical ideas for maintaining or gaining weight while following a low histamine approach.

From our Nourishing Health & Happiness with MCAS series, discover nourishing, dairy-free or low dairy ways to support healthy weight gain while meeting your body’s needs.

From our Nourishing Health & Happiness with MCAS series — discover simple, gentle ways to include more fibre for better gut health and overall wellbeing.

A handy 2 page Quick Guide to MCAS. An easy to read and understand overview of mast cells, MCAS symptoms, triggers, management, treatment and the histamine bucket theory.

We have worked with registered dietitian, Chloe Hall, to explore some of the most common diets followed by people with MCAS, and the key nutritional concerns that often arise. In this resource, we’ll look at practical ways to support your diet when living with MCAS.

Supporting Someone with MCAS as a Dietitian is a practical resource designed to help dietitians understand and support people living with Mast Cell Activation Syndrome. It offers guidance on the unique challenges that MCAS presents, particularly around food, nutrition, and symptom management.

This guide has been created to help you communicate more confidently and effectively with your GP. It offers practical language suggestions that can help you explain your symptoms, request support, and build a more collaborative relationship, whether you have a confirmed diagnosis or are still seeking answers.

This guide is designed to support individuals in the MCAS community who are navigating the challenges of seeking a diagnosis.

A primary care guide to Mast Cell Activation Syndrome. It outlines common triggers, diagnostic criteria, and key symptom patterns affecting various body systems, helping clinicians recognise and differentiate MCAS from other conditions.

This guidance outlines how local authorities and schools can best support children who cannot attend school because of physical or mental health needs.

Handout on different types of water purifiers, created by Deborah Bircham

This histamine bucket theory is a useful visual aid in trying to understand the impact of factors contributing to histamine levels.

This downloadable booklet contains tips and resources for managing Mast Cell Activation Disorders on the go, wherever you go.

This list can help teachers and other educators to include students living with MCAS, when planning lessons and classroom activities

This full resource pack is designed to help you share vital information about mast cell disorder with schools.

This resource has been designed to explain Mast Cell Activation Syndrome to Teachers and guide them in creating a safe environment for pupils.

This kit has been specially designed for parents and primary caregivers of secondary school students who have a mast cell disorder, such as Mast Cell Activation Syndrome (MCAS).

Are you meeting your Core Needs? Conducting a life audit can be an insightful exercise to help you evaluate and enhance your overall wellbeing.

This resource details some of the more common triggers of Mast Cell Activation Syndrome.

This resource details some of the more common symptoms of Mast Cell Activation Syndrome.

This leaflet documents some of the tests that may be used to diagnose MCAS and explains how to read the results.

You can use this blank recipe conversion page to note down any MCAS friendly changes you have made to your favourite recipe's.

This information guide about MCAS, and the additional needs a student with MCAS may have, can be shared with Disability Officers and other members of staff at universities.

This resource has been designed to provide general guidance and help students to access support as they approach further education at university.

This PDF combines our freedom kit, MCAS for teachers pack and letter for schools in one handy download.

The resource pack to help you to share vital information about your child's mast cell disorder with school and other care-givers.

This pack can be used to share information about MCAS with teachers and other care-givers.

Use this letter template along with the Freedom kit to share your child's needs with their school or childcare provider

This toolkit contains information about substances in food and in the environment that can affect mast cell activity or trigger MCAS symptoms. It also includes practical advice to help you understand and avoid these triggers, as needed.

This histamine bucket is a useful visual aid in trying to understand the impact of factors contributing to histamine levels.

SIGHI is an organisation that provides information about histamine-related disorders.
Blogs, books and recipes written by the low histamine chef (Yasmina Ykelenstam), a health journalist who has managed her own histamine intolerance for more than 10 years.

A medication timetable to log daily medications

A form designed to help you to plan the questions you would like to ask and symptoms you would like to discuss at medical appointments.

A medication log blank which you can use to record medications, dosages and medication times in order to keep on track.
Sign up to become a Friend of Mast Cell Action so we can keep you up to date on our progress and on how to get involved in our latest campaigns and initiatives.
Mast Cell Action relies entirely on the generosity of people like you. Please make a donation now and together we can make a difference to those affected by MCAS.